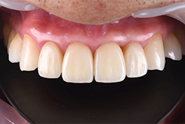
美しさも、噛み心地も妥協しない
精度にこだわる
セラミック治療
CERAMIC TREATMENT
デンタルローン利用可
歯の形や大きさが
気になっている
銀歯を白く自然な
見た目に変えたい
金属を使わない
治療を希望している
銀歯が取れてしまい
作り替えを
検討している
歯のすき間が
気になり
見た目を整えたい
口元の印象を
明るくしたいと
感じている
噛み合わせで
食事のしにくさを
感じている
汚れがつきにくい
素材で治療を
行いたい
このようなお悩みを
お持ちのかたには
セラミック治療がおすすめです

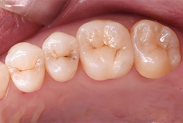
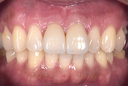
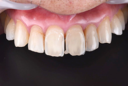
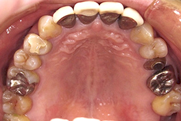
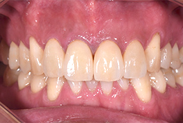
セラミック治療は、歯の色や形、バランスを整えながら、自然な口元を目指せる治療方法です。金属を使用しないため、見た目になじみやすく、むし歯の再発リスクにも配慮できます。見た目だけでなく、噛み合わせや将来のことも考えた治療をご提案いたします。
セラミックは透明感や色調の再現性が高く、天然歯に近い見た目を目指せる素材です。周囲の歯となじみやすく、治療した部分が目立ちにくい点が特徴です。光の透過性にも配慮できるため、口元全体の印象を自然に整えたいかたにおすすめです。
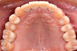
セラミックは強度に優れ、日常的な噛む力にも配慮できる素材です。適切な設計と接着を行うことで、欠けや割れのリスクを抑えた治療が可能となります。長期間の使用を見据え、機能性と耐久性の両立を重視しています。
セラミックは表面がなめらかで、汚れが付着しにくい特性があります。プラークが残りにくく、むし歯や歯周病のリスク軽減につながります。適合精度に配慮した治療を行うことで、歯ぐきとの境目も清潔に保ちやすくなります。
セラミック治療では、歯の色だけでなく形や大きさ、並びのバランスも調整できます。すき間や軽度の歯並びの乱れなど、症例によっては短期間で見た目を整えることが可能です。全体の調和を考えたデザインを大切にしています。
セラミック治療では金属を使用しないため、金属アレルギーのかたにも配慮した治療が可能です。歯ぐきの黒ずみが起こりにくい点も特徴の一つです。身体への負担を抑えながら、見た目の美しさを追求できます。
変色しにくい点も、セラミックの大きな魅力です。経年による色の変化が起こりにくく、治療直後の美しさを保ちやすくなります。日々のセルフケアと定期的なメンテナンスを組み合わせることで、より良い状態を維持しやすくなります。
リスク・副作用について
・歯の形や噛み合わせを元通りにする治療ではありません。
・新しい噛み合わせに慣れるまでに時間がかかることがあります。
・補綴材料によってはアレルギーが出ることがあります。
・強い衝撃がかかると割れる可能性があります。

金属を一切使用しないセラミック素材で、透明感や色調の再現性に優れている点が特徴です。天然歯に近い見た目を目指しやすく、前歯など審美性が求められる部位におすすめです。歯ぐきが黒ずむ心配も少なく口元を自然に整えたいかたに適しており、見た目の美しさを重視する治療に選ばれる素材です。

ジルコニアのみで作製されるセラミック素材で、非常に高い強度を持つことが特徴です。噛む力が強くかかる奥歯にも使用しやすく、割れや欠けのリスクを抑えた治療が可能です。透明感はやや控えめですが、耐久性を重視したい場合や、機能性を優先したいケースに適しています。

内側に強度の高いジルコニア、表面に審美性の高いセラミックを重ねた構造が特徴です。強度と見た目のバランスに配慮できるため、前歯から奥歯まで幅広い症例に対応しやすい素材です。自然な見た目と耐久性の両方を求めるかたに選ばれています。
セラミック治療は、症例によっては最短2回の通院で治療が完了します。歯並びを整える矯正治療では、一般的に1年~2年ほどの期間が必要になることが多く、通院回数も増えがちです。短期間で口元の印象を整えたいかたにとって、セラミック治療は選択肢の一つとなります。
治療内容によっては、セラミック治療は矯正治療よりも費用を抑えられる場合があります。矯正治療は一般的に40万~120万円ほどかかることが多い一方、セラミック治療では治療する本数を限定できるため、費用を調整しやすい点が特徴です。ご予算に応じたご提案が可能です。
口元をきれいにしたい・
印象を明るくしたいそんなかたは
当院へご相談ください
セラミック治療が自分に合っているか相談したい
治療の流れや期間について詳しく知りたい
見た目や噛み合わせの悩みを専門的に確認したい
費用や素材の違いについて説明を聞きたい
当院では、日本歯科審美学会の知見を踏まえたセラミック治療を行っています。見た目の美しさだけを追求するのではなく、噛み合わせや歯ぐきとの調和まで丁寧に考慮することを重視しています。治療時にはマイクロスコープを用い、肉眼では確認しきれない細部まで拡大して確認。削る量を抑えながら、適合精度に配慮した補綴物の作製につなげています。一人ひとり異なるお口の状態に向き合い、納得いただける仕上がりを目指します。
セラミック治療では、歯を削る量が将来の歯の状態に影響します。当院では、見た目の改善だけでなく、できる限り歯を残すことを重視しています。症例によっては、ほとんど削らずに治療を行うことも可能です。ただし、歯の状態や噛み合わせによって適応は異なります。事前の診断を丁寧に行い、一人ひとりに合った治療方法をご提案いたします。
セラミック治療の安定性は、接着の精度によって左右されます。当院ではラバーダムなどの歯科治療防湿器具を使用し、接着箇所に唾液が付着しない環境を整えています。接着時は、いかに乾燥した状態を保てるかが重要です。細かな工程まで配慮し、長く安心して使える仕上がりを目指しています。
精密なセラミック治療を行うため、院内の設備環境にも力を入れています。口腔内スキャナーによる型取りは、従来の印象材が苦手なかたにも配慮した方法です。さらにマイクロスコープを併用することで、形成や接着の工程を細かく確認。診療は完全個室で行うため、周囲を気にせず落ち着いて治療を受けていただけます。設備と環境の両面から、質の高い治療を支えています。
通院のしやすさも、治療を継続するうえで大切な要素です。当院は東西線「神楽坂駅」、東西線・南北線・有楽町線「飯田橋駅」から徒歩5分、都営大江戸線「牛込神楽坂駅」から徒歩4分と、複数路線からアクセスしやすい立地にあります。WEB予約に対応しており、診療時間外でも予約が可能です。土曜診療も行っているため、平日が忙しいかたにもおすすめです。
自由診療となるセラミック治療では、費用面の不安を感じるかたも少なくありません。当院では、クレジットカード払いに加え、デンタルローンにも対応しており分割回数を調整することにより、月々の負担を抑えた支払いも可能です。具体的な支払い例についても事前にご説明いたしますので、治療内容と費用の両面で納得したうえでご検討ください。
高額になりやすいセラミック治療も、デンタルローンをご利用いただくことで、月々の負担を抑えた支払いが可能です。分割回数を調整できるため、無理のないペースで治療を進めていただけます。事前に支払い例を確認しながらご検討いただけますので、費用面が気になるかたもまずはお気軽にご相談ください。
セラミック治療では「どれだけ削るか」ではなく、「削らずに整えられるか」という視点も重要です。当院では、被せ物ありきの治療は行わず、ラミネートベニアを含めた複数の選択肢から適した方法をご提案しています。前歯の色や形、すき間などのお悩みに対し、歯の状態や将来性を踏まえて適応を判断。歯を守る視点を大切にした、精度の高いセラミック治療を行っています。
ラミネートベニアは、歯の表面を薄く整えるだけで対応できる治療法です。被せ物のように大きく削る必要がなく、ご自身の歯をできるだけ残したいかたに向いています。歯への負担を抑えながら、見た目の改善を目指せる点が特徴です。
セラミック特有の透明感と質感により、周囲の歯となじみやすい仕上がりが期待できます。白さだけでなく、色調や形も細かく調整できるため、治療したことがわかりにくい自然な口元を目指したいかたにおすすめです。
歯の色ムラ、すき間、形の不揃いなど、前歯まわりの複数のお悩みに同時にアプローチできるのがラミネートベニアの強みです。一人ひとりの歯に合わせて作製するため、細かなご希望にも対応しやすい治療といえます。
前歯をキレイにしたい
ホワイトニング+ラミネートベニア治療
3ヵ月
約500,000円
強い衝撃がかかると割れる可能性があります
※表示金額は全て税込みです。
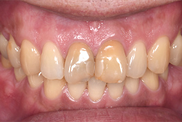
前歯の変色が気になる
ジルコニアセラミックスクラウン
1ヵ月
約400,000円
強い衝撃がかかると割れる可能性があります
※表示金額は全て税込みです。
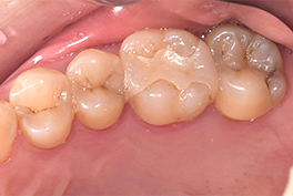
むし歯の治療をしたい
ダイレクトボンディング、セラミックスアンレー
1ヵ月以内
約200,000円
強い衝撃がかかると割れる可能性があります
※表示金額は全て税込みです。
前歯の色と黒い部分をきれいにしたい
精密根管治療+セラミックス治療+ラミネートベニア治療
2ヵ月
約1,000,000円
強い衝撃がかかると割れる可能性があります
※表示金額は全て税込みです。
前歯をきれいにしたい
削る量が少ないラミネートベニア治療
1ヵ月
約600,000円
強い衝撃がかかると割れる可能性があります
※表示金額は全て税込みです。
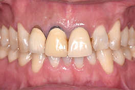
むし歯の治療をしたい。銀歯をきれいな歯にしたい。
噛み合わせ治療+精密根管治療+セラミックス治療+インプラント治療
5ヵ月
約2,500,000円
強い衝撃がかかると割れる可能性があります
※表示金額は全て税込みです。
セラミック治療が自分に合っているか相談したい
治療の流れや期間について詳しく知りたい
見た目や噛み合わせの悩みを専門的に確認したい
費用や素材の違いについて説明を聞きたい

初めてのかたでも安心してご来院いただけるよう、受付スタッフが丁寧にご案内いたします。問診票のご記入をお願いし、現在のお悩みやご希望を整理します。不安な点や気になることがありましたら、この時点でお気軽にお伝えください。落ち着いた環境で診療の準備を進めます。

カウンセリングでは、歯の見た目に関するお悩みや治療へのご要望を詳しくお伺いします。仕上がりのイメージや治療期間、費用面についても丁寧に共有。患者さんの考えを尊重しながら、無理のない治療の方向性を一緒に確認していきます。

治療の精度を高めるため、口腔内の状態を詳しく確認します。口腔内スキャナーや必要に応じた検査を行い、歯や歯ぐき、噛み合わせの状態を把握。目に見えない部分まで確認することで、適切な治療計画につなげていきます。

検査結果をもとに、治療方法や使用するセラミック素材、通院回数などをご説明いたします。メリットだけでなく、注意点についても丁寧にお伝えすることを大切にしています。内容にご納得いただいたうえで、治療を進めていきます。

治療では、できるだけ歯への負担を抑えながら、精度に配慮した処置を行います。必要に応じてマイクロスコープを使用し、細部まで確認しながら進行。仕上がりの美しさと機能性の両立を目指し、丁寧に治療を行います。

治療後の良い状態を保つためには、定期的なメンテナンスが重要です。噛み合わせやセラミックの状態を確認し、必要に応じて調整を行います。日々のケア方法についてもお伝えし、長く安心して使える状態をサポートいたします。

学生のかた限定の割引プランです。学生証のご提示をお願いしております。

月曜日~金曜日の間にお越しいただけるかた限定の割引プランです。
| ダイレクトボンディング(1歯) | 55,000円 |
|---|---|
| オールセラミック(インレー・アンレー) | 99,000~121,000円 |
| ラミネートベニア | 143,000円 |
| オールセラミッククラウン | 154,000円 |
| フルジルコニアクラウン | 176,000円 |
| ジルコニアセラミッククラウン | 198,000円 |
| プロビジョナル(精密仮歯) | 11,000円 |
※表示金額は全て税込みです
当院では、下記のお支払方法が可能です。



1年間(1月1日~12月31日)で医療費を10万円以上支払った場合に、
一定金額の所得控除を受けることができる制度が医療費控除です。
ご自身のみならず、生計をともにするご家族の医療費も適用となります。詳しくは国税庁のホームページをご覧ください。
私がセラミック治療において大切にしているのは、単に歯を白く、美しく見せることではありません。患者さん一人ひとりのお口の状態や生活背景を踏まえ、将来まで見据えた治療を行うことです。歯は一度削ると元には戻りません。そのため、当院ではできるだけ歯を削らないこと、そして必要な処置を丁寧に行うことを重視しています。
また、セラミック治療の質を左右するのは素材だけではなく、診断や形成、接着といった一つひとつの工程です。わずかな差が仕上がりや耐久性に影響するからこそ、マイクロスコープを用いた精密な治療や、防湿環境を整えた接着操作にこだわっています。見えない部分にこそ手を抜かない姿勢が、安心につながると考えています。
審美治療には、セラミックだけでなく、ラミネートベニアやダイレクトボンディングなど、さまざまな選択肢があります。当院では一つの方法に固執せず、患者さんにとって無理のない治療をご提案することを大切にしています。費用や治療期間についても丁寧にご説明し、ご納得いただいたうえで進めていきます。
口元が整うことで、笑顔に自信が持てるようになる。そのきっかけを、安心してお任せいただける存在でありたいと考えています。セラミック治療をご検討の際は、どうぞお気軽にご相談ください。
審美治療には、セラミックだけでなく、ラミネートベニアやダイレクトボンディングなど、さまざまな選択肢があります。当院では一つの方法に固執せず、患者さんにとって無理のない治療をご提案することを大切にしています。費用や治療期間についても丁寧にご説明し、ご納得いただいたうえで進めていきます。
口元が整うことで、笑顔に自信が持てるようになる。そのきっかけを、安心してお任せいただける存在でありたいと考えています。セラミック治療をご検討の際は、どうぞお気軽にご相談ください。
仙台第一高校 卒業
日本大学歯学部 卒業
東北大学病院
卒後臨床研修センターにて研修
要町デンタルクリニック 勤務
国際歯科大会 講演

〒162-0825
東京都新宿区神楽坂5丁目34番地1
ディアライフ神楽坂 4階
| 診療時間 | 月 | 火 | 水 | 木 | 金 | 土 | 日 | 祝 |
|---|---|---|---|---|---|---|---|---|
| 9:00〜13:00 | ● | ● | / | ● | ● | ● | / | / |
| 14:00〜18:00 | ● | ● | / | ● | ● | ● | / | / |
休診日:水曜、日曜、祝日
セラミック治療はどのくらいの期間がかかりますか?
治療内容や本数によりますが、症例によっては2回の通院で完了することもあります。検査や仮歯の調整が必要な場合は、数週間かかることもあります。詳しい期間は事前にご説明いたします。
歯は必ず削る必要がありますか?
すべてのケースで大きく削るわけではありません。歯の状態によっては、削る量を抑えた治療や、ほとんど削らずに行う方法を選択できる場合もあります。
セラミックは割れたりしませんか?
適切な素材選択と設計を行うことで、日常生活に配慮した強度を確保できます。ただし、強い食いしばりや歯ぎしりがある場合は注意が必要なため、事前に確認いたします。
金属アレルギーがあっても治療できますか?
セラミック治療は金属を使用しないため、金属アレルギーのかたにも配慮した治療が可能です。歯ぐきの黒ずみが起こりにくい点も特徴です。
費用の支払いが不安ですが相談できますか?
はい、可能です。クレジットカードやデンタルローンにも対応しており、支払い例を確認しながら無理のない方法をご提案いたします。ご不安な点はお気軽にご相談ください。
セラミック治療が自分に合っているか相談したい
治療の流れや期間について詳しく知りたい
見た目や噛み合わせの悩みを専門的に確認したい
費用や素材の違いについて説明を聞きたい